Before and After Dental Photos - Smile Makeovers Huntington,WV
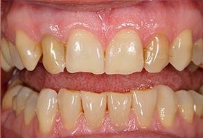
Before
After
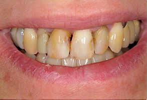
Before
After
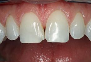
Before
After
Before
After
Before
After
Before
After
Before
After
Before
After
Before
After